Имплантация зубов

Имплантация зубов в клинике DentStar

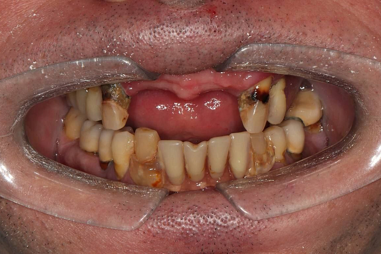
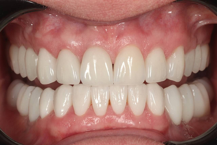
Отсутствие одного, нескольких или всех зубов – не проблема. Наши хирурги помогут воссоздать красивую и здоровую улыбку с помощью имплантации. Современное оборудование и высококвалифицированные специалисты - гарантия высокого качества проведения процедуры.

Стоимость услуг

Услуга Операция имплантация по установке имплантата STRAUMANN Стоимость от 30 000 руб.

Запишитесь на консультацию

заказать звонок написать в whatsapp

Что такое имплантация?

Имплантация – вид несъемного протезирования. Основной этап этой процедуры – установка искусственного корня (имплантата) на место утраченного зуба. В нашей клинике с помощью имплантации можно восстановить как один зуб, так и весь зубной ряд.

Существует несколько технологий имплантации:

  • В два этапа

В таком случае сначала происходит вживление имплантата, а уже через несколько месяцев установка постоянной коронки.

  • Одномоментная

Вживление имплантата производится сразу после удаления зуба.

  • С немедленной нагрузкой

Такая технология подразумевает установку коронки сразу или через несколько суток после вживления имплантата.

Подходящий именно Вам способ имплантации подберут ортопед и хирург-имплантолог после консультации и тщательного обследования.

Преимущества имплантации в стоматологии DentStar

Командная работа докторов

На протяжении всего лечения с пациентом работают врач-ортопед, терапевт, гигиенист и хирург-имплантолог. Командная работа помогает решить проблему комплексно, составить грамотный план лечения и подготовить пациента к имплантации. Только такой подход позволяет провести установку имплантата качественно и без осложнений.

Полная стерильность и современное оборудование

В стоматологии DentStar протезирование на имплантатах осуществляется не в обычном кабинете, а в условиях операционного блока. Это гарантирует полную стерильность и безопасность проведения процедуры.

Имплантация зубов в Твери

В нашей клинике есть операционная, оснащенная самым современным оборудованием

Для имплантации используются только качественные препараты и материалы. Мы работаем с имплантатами лучших производителей, что обеспечивает высокий процент приживляемости.

Тщательная 3D-диагностика

Операции планируются по итогам точнейшей диагностики с помощью аппарата КЛКТ, с участием искусственного интеллекта Diagnocat и компьютерного моделирования. Комплексное обследование позволяет составить грамотный план лечения, а также выявить патологии зубов, их корневых каналов и костной ткани.

Вы сможете увидеть результат имплантации еще до операции, а хирург-имплантолог точно спланирует самое правильное место для установки имплантата. Это позволит воссоздать естественную улыбку.

3D-исследования с применением искусственного интеллекта – самый современный способ диагностики

Имплантация при полном отсутствии зубов

В нашей стоматологии отсутствие всех зубов (адентия) – не проблема. Для таких случаев у нас есть программа тотальной реабилитации (протезирование All-on-4 и All-on-6). Квалифицированные хирурги-имплантологи помогут сделать улыбку максимально натуральной.

Возможность проведения процедуры имплантации в седации или под наркозом

В случаях повышенного страха стоматологических манипуляций в нашей клинике возможно протезирование в медикаментозном сне. Данная методика совершенно безвредна для организма, но позволяет избавиться от страха и расслабиться. В качестве седативного средства применяется препарат Пропофол (снотворное средство). Во время процедуры в кабинете, кроме хирурга, присутствует целая анестезиологическая бригада. Протезирование под общим наркозом проводится строго по показаниям врача.

В клинике DentStar проведение процедуры имплантации может быть безболезненным и максимально комфортным

Врачи

Стрельников Евгений Валерьевич

Врач-челюстно-лицевой хирург

Стрельников Евгений Валерьевич Записаться
Анисимов Роман Сергеевич

Врач-стоматолог-хирург

Анисимов Роман Сергеевич Записаться

Отзывы

2 августа была на приеме у доктора Мирзоян Р.Г. Восхищена работой! Очень чуткий и профессиональный доктор. Очень довольна результатом! Эстетика на все 100%

Хохлова Анна

Тверь

Самый улыбчивый и милый персонал! Квалифицированные специалисты,которым можно доверить не только зубы ,но и жизнь.
Спасибо большое!!!

Федор

Тверь

Хочу выразить огромную благодарность врачу Копину Виктору Андреевичу! Очень внимательный, аккуратный, работает практически без боли. Не смотря на его возраст, очень опытный и квалифицированный специалист. Очень ему благодарна!!!

Соловьева Алеся Юрьевна

Тверь

Наши работы

Дисколорит 21 зуба, рецессия по 1 классу. Проведена пластика рецессии, изготовлена цельнокерамическпя коронка.