Стоимость услуг

Полные съемные зубные протезы от 35 000 руб.
Частичные съемные зубные протезы от 20 000 руб.

Имплантация: самое естественное решение для ваших зубов

В «ДентСтар» мы считаем имплантацию зубов наиболее физиологичным и эффективным способом вернуть утраченные зубы. Это не просто замена, а полное восстановление как функции, так и эстетики, максимально приближенное к вашим природным зубам.

Мы рады предложить наши услуги пациентам любого возраста, всегда учитывая ваши индивидуальные особенности здоровья.

image_82.webp

Наши врачи владеют всеми современными методиками: применяем как проверенные классические, так и современные методики, включая имплантацию All-on-4 (имплантация на четырех имплантатах). Имплантация «All-on-4" является отличным решением для полного восстановления зубного ряда.

Наши врачи подберут оптимальный вариант: от установки одиночных коронок до полного восстановления зубного ряда.

В каких случаях используется съемное протезирование?

Отсутствие нескольких зубов

Если нет возможности поставить мост или имплантаты

Полное отсутствие зубов

Съемные протезы позволяют быстро восстановить эстетическую и жевательную функцию

Невозможность имплантации

Например, при сильной атрофии кости или медицинских противопоказаниях

Временное решение

Используются как промежуточный вариант перед или во время имплантации

Виды съемных зубных протезов

Полные съемные протезы

Полные съемные протезы

Используются при полном отсутствии зубов

Частичные съемные протезы

Частичные съемные протезы

Заменяют несколько отсутствующих зубов, крепятся на оставшиеся зубы

Бюгельные протезы (частично-съемные)

Бюгельные протезы (частично-съемные)

Имеют металлический каркас, удобные и прочные

Врачи нашей клиники

Анисимов Роман Сергеевич

Врач-стоматолог-хирург

Анисимов Роман Сергеевич Записаться
Копин Виктор Андреевич

Врач-стоматолог-ортопед

Копин Виктор Андреевич Записаться
Паталов Евгений Степанович

Врач-стоматолог-ортопед

Паталов Евгений Степанович Записаться

Наши работы

Замещение несостоятельного центрального резца с помощью имплантата и индивидуального циркониевого абатмента.
Челюстно-лицевой хиурург, врач стоматолог-хирург-имплантолог Стрельников Евгений Валерьевич

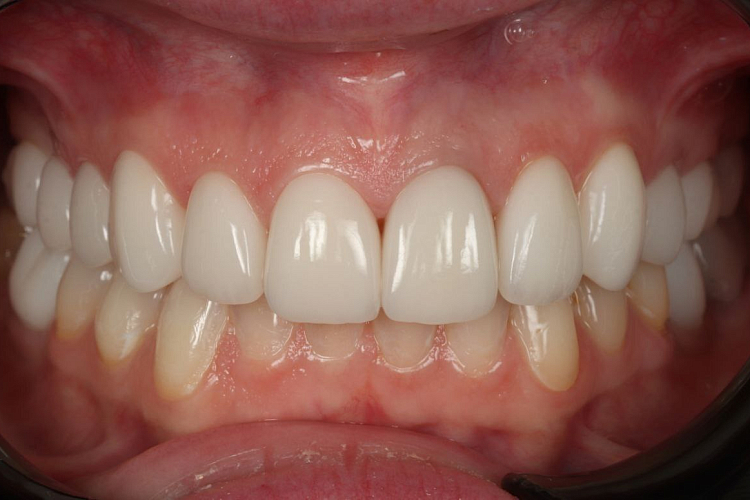
Жалобы на стираемость зубов, некрасивую улыбку, пожелание сделать красивые, ровные зубы.

На первый взгляд это просто преображение до/после.

Но! На самом деле, проведена огромная работа врача-стоматолога-ортопеда Копина Виктора Андреевича и зуботехнической лаборатории.

Пациентке восстановлена эстетика и функция при помощи керамических виниров и накладок.

Все ткани зубов максимально сохранены. Никого агрессивного «обтачивания» или удаления нервов!

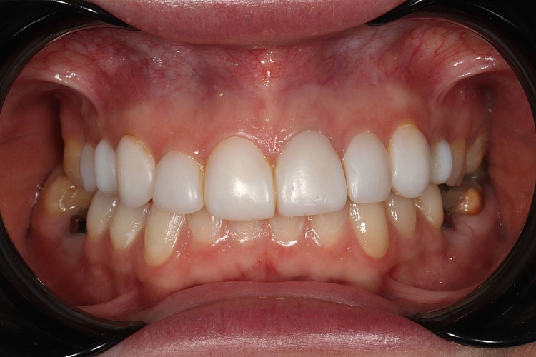
Проведена тотальная реабилитация цельнокерамическими коронками на верхней и нижней челюсти. Совместная работа врача стоматолога ортопеда Копина Виктора Андреевича и челюстно- лицевого хирурга, врача стоматолога хирурга- имплантолога Стрельникова Евгения Валерьевича

Восстановление разрушенных передних зубов детскими эстетическими коронками

Пациенты отмечают наш профессионализм

Хочу выразить огромную благодарность врачу Копину Виктору Андреевичу! Очень внимательный, аккуратный, работает практически без боли. Не смотря на его возраст, очень опытный и квалифицированный специалист. Очень ему благодарна!!!

Соловьева Алеся Юрьевна

Тверь

Самый улыбчивый и милый персонал! Квалифицированные специалисты,которым можно доверить не только зубы ,но и жизнь.
Спасибо большое!!!

Федор

Тверь

Начали ходить со старшим сыном к Зюзьковой Светлане Александровне с 2-3 лет. У него был ужасный страх к стоматологам. Это единственный врач, к которому ребенок пошел. Она великолепный профессионал и очень внимательный и чуткий человек,который всегда найдет подход к ребенку. Теперь ходим и с младшим сыном тоже.

Будико М. О.

Тверь