Стоимость услуг

Керамические виниры от 30 000 руб.
Виниры на рефракторе от 40 000 руб.

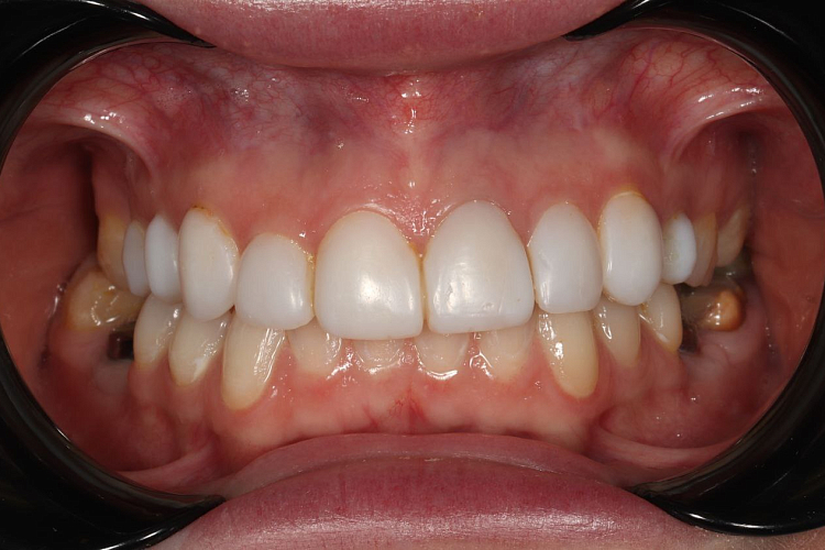
Что такое виниры?

Виниры — ультратонкие пластинки (толщиной с контактную линзу), предназначенные для корректировки внешней поверхности зубов и придания им эстетичного вида.

Виниры помогают скрыть такие дефекты, как изменение цвета, стертые края и сколы, небольшие промежутки между зубами. Данный вид протезирования требует минимального препарирования (снимается лишь верхний слой эмали зуба под толщину винира).

  • Керамические виниры

Данный вид виниров изготавливается из прочной керамики. Их структура максимально приближена к натуральным зубам. Установке виниров предшествуют препарирование, снятие слепков и примерка. Только профессионал сможет отличить качественно изготовленные и установленные керамические виниры от «своих» зубов.

  • Виниры на рефракторе

Это особый вид тончайших керамических виниров, созданных по специальной технологии. Они более прозрачные, легкие и практически не требуют обработки зубов, что сохраняет их структуру. Их изготовление сложнее, поэтому они дороже и требуют высокой квалификации врача.

__2025-09-21__185510.webp

Почему для установки виниров стоит обратиться в клинику ДентСтар?

Современные методы диагностики

Перед ортопедическим лечением обязательным этапом является 3D-диагностика. В нашей клинике исследования проводятся с помощью КЛКТ и программы искусственного интеллекта Diagnocat. Это позволяет выявить патологии и устранить их во избежание дальнейших осложнений.

Для изготовления виниров понадобится сделать слепки. Вам не придется сидеть с силиконовой массой во рту, так как в нашей стоматологии доступно 3D-сканирование. Процедура занимает 10 минут и подходит для людей с повышенным рвотным рефлексом.

Цифровая диагностика - гарантия выявления осложнений на ранней стадии

Комплексный подход

При обнаружении кариеса или других патологий Вы будете направлены к смежным специалистам нашей клиники: терапевту, хирургу, гигиенисту и др. Наши врачи внимательно подходят к постановке диагноза и составлению плана лечения. В сложных случаях проблема пациента обсуждается на врачебном консилиуме.

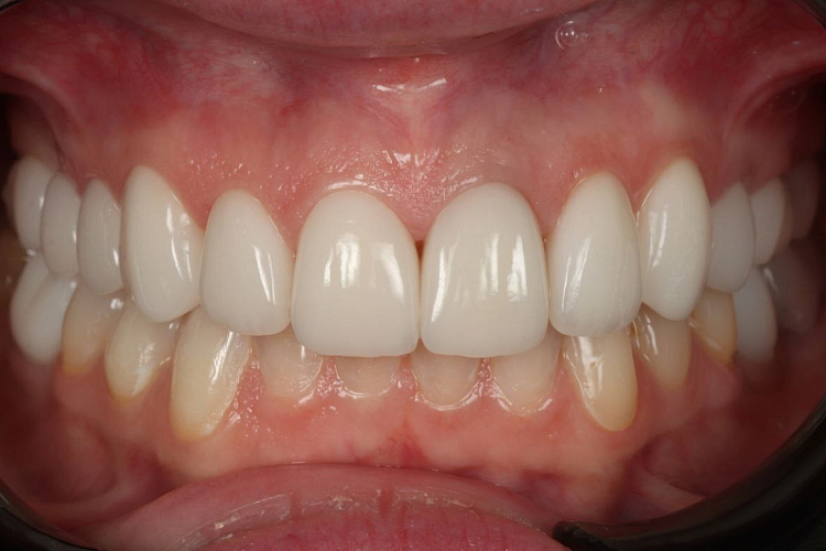
Наши виниры выглядят максимально естественно

Виниры изготавливаются в лучших лабораториях из качественных материалов по индивидуальным слепкам. Они имеют прозрачный режущий край, естественную форму и микрорельеф. Цвет подбирается врачом с учетом пожеланий пациента. Перед изготовлением постоянных виниров изготавливаются временные модели для примерки. Виниры устанавливаются максимально аккуратно, что позволяет избежать воспаления десны.

Лечение с использованием микроскопа

При препарировании (обточке) зубов применяется микроскоп. Это позволяет снять только необходимый слой эмали, не затрагивая дентин, и максимально сохранить зуб. Установка виниров также проходит с увеличением. Это помогает обеспечить идеальное прилегание накладки к зубу и десне.

Лечение под микроскопом позволяет проводить любые манипуляции с максимальной точностью

Врачи нашей клиники

Анисимов Роман Сергеевич

Врач-стоматолог-хирург

Анисимов Роман Сергеевич Записаться
Копин Виктор Андреевич

Врач-стоматолог-ортопед

Копин Виктор Андреевич Записаться
Паталов Евгений Степанович

Врач-стоматолог-ортопед

Паталов Евгений Степанович Записаться

Пациенты отмечают наш профессионализм

Хочу выразить огромную благодарность врачу Копину Виктору Андреевичу! Очень внимательный, аккуратный, работает практически без боли. Не смотря на его возраст, очень опытный и квалифицированный специалист. Очень ему благодарна!!!

Соловьева Алеся Юрьевна

Тверь

Начали ходить со старшим сыном к Зюзьковой Светлане Александровне с 2-3 лет. У него был ужасный страх к стоматологам. Это единственный врач, к которому ребенок пошел. Она великолепный профессионал и очень внимательный и чуткий человек,который всегда найдет подход к ребенку. Теперь ходим и с младшим сыном тоже.

Будико М. О.

Тверь

Самый улыбчивый и милый персонал! Квалифицированные специалисты,которым можно доверить не только зубы ,но и жизнь.
Спасибо большое!!!

Федор

Тверь

Наши работы