Выполненные работы

Санация полости рта в условиях общего наркоза, вылечено 6 зубов: 4 кариеса, 2 осложненных кариеса, жевательные зубы после эндодонтического лечения восстановлены стандартными штампованными детскими коронками.

Восстановление разрушенных передних зубов детскими эстетическими коронками

Дисколорит 21 зуба, рецессия по 1 классу. Проведена пластика рецессии, изготовлена цельнокерамическпя коронка.

Тотальная функционально-эстетическая реабилитация верхней и нижней челюсти при повышенной стираемости зубов на этапе временных коронок. Специалисты команды ДентСтар владеют всеми необходимыми знаниями,опытом,материалами и  оборудованием, чтобы наши пациенты на всех этапах лечения покидали клинику с полноценной улыбкой! Работу выполнил врач- стоматолог- ортопед Копин Виктор Андреевич

Безинвазивное лечение эмали методом инфильтрации системой Icon, без применения бора и каких либо механических воздействий.

Врач-стоматолог-терапевт Мирзоян Рипсимэ Гагиковна

Мезиальная окклюзия, сужение верхней челюсти, аномалия зубных рядов, аномалия отдельных зубов.

Проведено лечение на самолигируюших керамических брекетах Em power.

Длительность лечения 16 месяцев.

Работа врача-стоматолога-ортодонта Сидо Хабата Мохамадовича

Перекрестный прикус, сужение верхней челюсти, аномалия зубных рядов, аномалия отдельных зубов

Проведено лечение на брекет- системе Em power.

Длительность лечения - 18 месяцев.

Работа врача-стоматолога-ортодонта Сидо Хабата Мохамадовича

Замена старой не состоятельной пломбы на функциональную эстетическую реставрацию.

Работу выполнил врач-стоматолог-терапевт Мирзоян Рипсимэ Гагиковна

Жалобы на стираемость зубов, некрасивую улыбку, пожелание сделать красивые, ровные зубы.

На первый взгляд это просто преображение до/после.

Но! На самом деле, проведена огромная работа врача-стоматолога-ортопеда Копина Виктора Андреевича и зуботехнической лаборатории.

Пациентке восстановлена эстетика и функция при помощи керамических виниров и накладок.

Все ткани зубов максимально сохранены. Никого агрессивного «обтачивания» или удаления нервов!

Лечение кариеса,замена старой не состоятельной пломбы на высокофункциональную эстетическую реставрацию.

Работу выполнила врач-стоматолог-терапевт Мирзоян Рипсимэ Гагиковна

Эстетическая реабилитация улыбки композитными реставрациями после ортодонтического лечения. 

У пациентки адентия(отсутствие ) боковых резцов, на их позиции находятся постоянные клыки, а в позиции постоянных клыков  их молочные аналоги.

Работа проведенная после ортодонтии:

1 этап) Проведено лечение эмали системами  Opolustre и Icon

2 этап) Композитные реставрации 6 зубов

Работа врача-стоматолога-терапевта Мирзоян Рипсимэ Гагиковны

Рутинная имплантация в области отсутствующего зуба 3.6; рентген исследование на этапе интеграции имплантата (слева), спустя 6 лет эксплуатации (справа). Работа челюстно-лицевого хирурга, врача стоматолога-хирурга имплантолога Стрельникова Евгения Валерьевича.

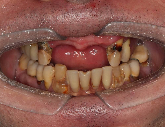
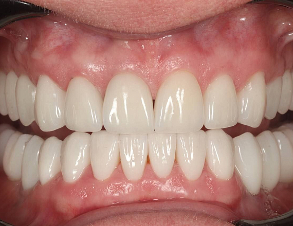
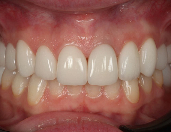
Проведена тотальная реабилитация цельнокерамическими коронками на верхней и нижней челюсти. Совместная работа врача стоматолога ортопеда Копина Виктора Андреевича и челюстно- лицевого хирурга, врача стоматолога хирурга- имплантолога Стрельникова Евгения Валерьевича

Проведена тотальная реабилитация на верхней челюсти несъемной цельнокерамической конструкцией с опорой на имплантаты. Самое последнее фото до. Совместнаяабота врача стоматолога ортопеда Копина Виктора Андреевича и хирурга имплантолога Анисимова Романа Сергеевича

Профессиональное отбеливание полости рта системой opalescence boost Врач стоматолог-терапевт Мирзоян Рипсимэ Гагиковна

Лечение кариеса на контактных поверхностях премоляров. Восстановление композитной функциональной реставрацией врач стоматолог-терапевт Мирзоян рипсимэ Гагиковна

Лечение кариеса жевательного зуба. Замена не состоятельной пломбы на высокофункциональную эстетическую реставрацию. Врач стоматолог-терапевт Мирзоян Рипсимэ Гагиковна

Лечение кариеса жевательного зуба. Восстановление функциональной эстетической реставрацией. Врач стоматолог-терапевт Мирзоян Рипсимэ Гагиковна

Композитные эстетические реставрации. Пациентка обратилась с запросом на не состоятельность реставраций на центральных верхних резцах. Врач стоматолог-терапевт Мирзоян Рипсимэ Гагиковна

Рентгенологическое исследование (панорамная рентгенограмма зубных рядов) - тотальная реабилитация в/ч с помощью имплантатов. Врач стоматолог-хирург-имплантолог Стрельников Евгений Валерьевич

Замещение несостоятельного центрального резца с помощью имплантата и индивидуального циркониевого абатмента.
Челюстно-лицевой хиурург, врач стоматолог-хирург-имплантолог Стрельников Евгений Валерьевич