Тверь, Спартака 42Б
Пн - Пт 8.00 — 20.00
Суббота 8.00 — 15.00
Воскресенье 9.00 — 15.00
8 (4822) 39-44-40 / 8 (905) 603-55-77
8 (4822) 39-44-41
е-mail: dentstarclinic@yandex.ru
8 (4822) 39-44-40
8 (905) 603-55-77
Детское отделение
E-mail
dentstarclinic@yandex.ru
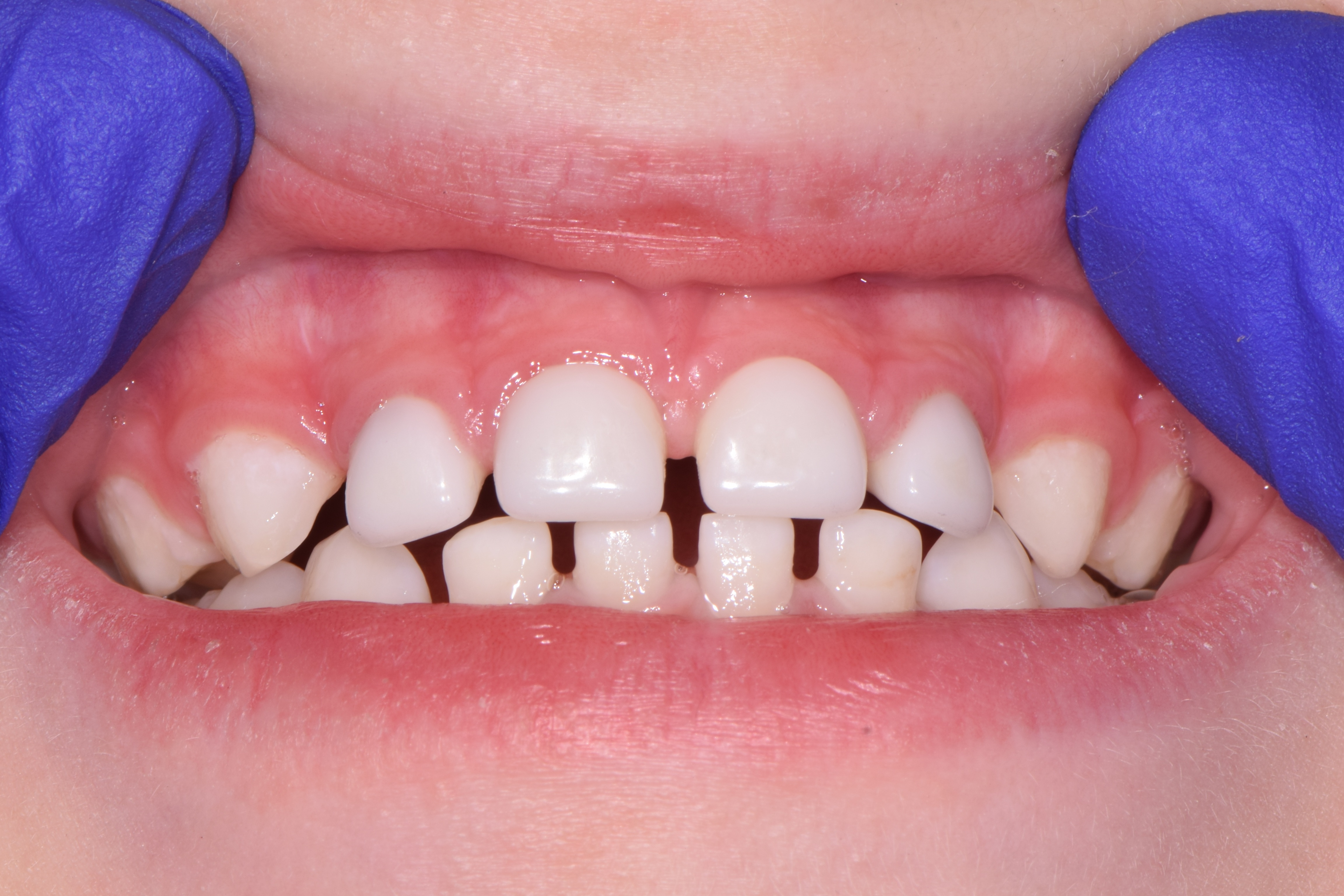
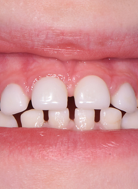
Работу выполнил детский стоматолог команды ДентСтар Шевякова Алиса Александровна.
Первое фото - "до". Второе - сразу после лечения. Третье -контрольный осмотр через 3 месяца после лечения.
Нажимая на кнопку "Записаться", вы даете согласие на обработку персональных данных
Нажимая на кнопку "Откликнуться", вы даете согласие на обработку персональных данных
Нажимая на кнопку "Заказать звонок", вы даете согласие на обработку персональных данных